Mô tả đầu tiên về đặc điểm mô bệnh học do Lates calcarifer herpes virus (LCHV) gây ra trên cá Chẽm (Lates calcarifer)
26/05/2023Cá Chẽm (Lates calcarifer) là một đối tượng nuôi kinh tế quan trọng cho nghề nuôi biển ở vùng Châu Á Thái Bình Dương và đang bị đe dọa bởi nhiều loại bệnh truyền nhiễm. Lates calcarifer herpes virus (LCHV) là một loại virus mới được báo cáo lần đâu tiên trên cá chẽm nuôi vào năm 2015. Cho đến hiện tại, các đặc điểm mô học của bệnh này dùng cho mục đích chẩn đoán vẫn chưa được mô tả.
Trong nghiên cứu này, chúng tôi đã tiến hành đánh giá mô bệnh học của cá Chẽm thu từ 5 đợt bùng phát bệnh LCHV ngoài tự nhiên trong suốt một năm. Cá nhiễm bệnh ngoài tự nhiên có dấu hiệu thân tối màu, đuôi bị mòn cụt và hoại tử (cá nhiễm nặng có thể bị mất vẩy trên 80%), mắt mờ đục và gan bị sưng với nhiều mảng trắng (Hình 1). Đặc biệt, đã phát hiện sự xuất hiện của một dạng thể vùi đặc trưng trong nhân (IIBs) ở các cơ quan khác nhau của cá bị nhiễm bệnh (Hình 2). Thí nghiệm cảm nhiễm nhân tạo đã được tiến hành bằng cách tiêm cho cá khỏe dịch chiết từ cá chẽm dương tính với virus LCHV thu ngoài tự nhiên. Kiểm tra dấu hiệu mô bệnh học của cá Chẽm bị nhiễm bệnh trong điều kiện thí nghiệm đã chứng minh sự hiện diện của cùng một loại thể vùi đặc trưng IIBs trong nhiều cơ quan, bao gồm, gan, tụy, thận, mắt, mang và mô mỡ tương tự như cá nhiễm tự nhiên (Hình 3).
Kết quả của nghiên cứu này đã chỉ ra sự xuất hiện của thể vùi IIBs trên cá Chẽm bị nhiễm LCHV là một dấu hiệu bệnh lý đặc trưng để chẩn đoán bệnh này bằng phương pháp mô học, đặc biệt, phát hiện này có thể được dùng để giám sát sự bùng phát bệnh do virus mới này ở các nước nuôi cá Chẽm.

Hình 1. Dấu hiệu bệnh lý của cá Chẽm bị nhiễm virus LCHV trong tự nhiên: (a) thân tối màu và mất vẩy; (b), đuôi bị mòn cụt và hoại tử (mũi tên); (c) cá nhiễm LCHV nặng với trên 80% vảy bị mất và đuôi bị mòn cụt (mũi tên); (d) mắt mờ đục (mũi tên); (e) gan bị sưng với nhiều mảng trắng (mũi tên)

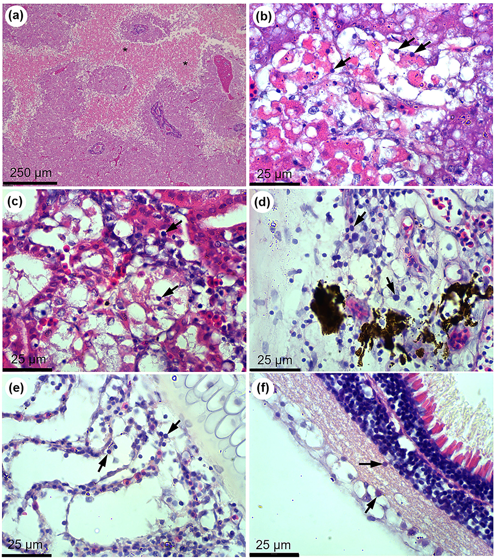
Hình 2. Đặc điểm mô bệnh học của cá Chẽm bị nhiễm LCHV trong điều kiện tự nhiên. Cá nhiễm bệnh có gan bị hoại tử trên diện rộng (a); các thể vùi đặc trưng trong nhân tế bào tồn tại trong vùng hoại tử của gan (b); mô tạo máu và ống thận (c); biểu mô ở da (d); các tơ mang (e) và giác mạc (f) của cá.

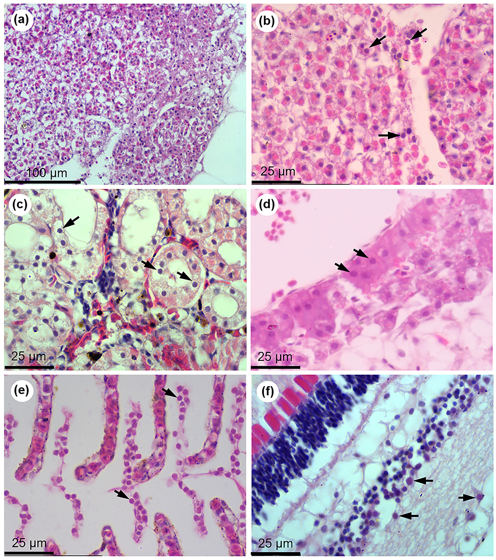
Hình 3. Sự hiện diện của thể vùi (IIBs, mũi tên) trong nhân ở nhiều cơ quan bao gồm: gan (a, b), thận (c), tuyến tụy (d), mang (e) và võng mạc mắt mờ đục của cá Chẽm nhiễm LCHV trong điều kiện thí nghiệm.
Nguồn: https://doi.org/10.1016/j.aquaculture.2022.739091
Link: https://www.sciencedirect.com/science/article/abs/pii/S004484862201208X
Tin bài: Trần Đức Diễn (CNVB)
Bài viết liên quan
Khoa học & công nghệ














