Bước đầu nghiên cứu, chế tạo thành công chế phẩm cầm máu khẩn cấp mang thương hiệu Việt Nam.
22/09/2021Với thời gian cầm máu <30s, các chỉ tiêu về huyết học và chức năng gan, thận, lá lách của động vật thử nghiệm đều giữ ổn định sau khi sử dụng, chế phẩm cầm máu được đánh giá là một sản phẩm có ý nghĩa lớn không chỉ đối với hoạt động quân sự mà còn có thể ứng dụng rộng rãi trong các cơ sở y tế trong tương lai.
Theo thống kê, mất máu là một trong những nguyên nhân gây tử vong hàng đầu trong số các thương vong của quân nhân và dân sự. Cầm máu là thao tác sơ cứu quan trọng và cấp thiết đối với các ca chấn thương nghiêm trọng. Tuy nhiên, các bước sơ cứu cầm máu phổ biến hiện nay là sử dụng băng, gạc, kẹp cầm máu, những thao tác này đòi hỏi người thực hiện có kiến thức, kỹ thuật và không phù hợp trong điều kiện khẩn cấp hoặc các tình huống chiến đấu trên chiến trường. Việc chế tạo thành công chế phẩm cầm máu khẩn cấp với cách sử dụng đơn giản sẽ giải quyết được vấn đề trên. Đồng thời nếu chiến sĩ được trang bị chế phẩm trong túi y tế cá nhân sẽ giúp nâng cao khả năng tự sơ cứu và tăng tỷ lệ sống sót với trường hợp vết thương lớn, mất nhiều máu trên chiến trường.
Trên thế giới hiện nay đã đưa vào sử dụng nhiều sản phẩm có tác dụng cầm máu khẩn cấp như SyvekPatch, Rapid Deployment Hemostat, TraumaDEX (Medafor, Inc, Minneapolis, Minnesota, USA) hay chế phẩm Gemostop của Liên bang Nga, mỗi sản phẩm đều có những ưu nhược điểm nhất định tuy nhiên có thể nhận thấy đây là hướng nghiên cứu được các nước đầu tư. Xuất phát từ thực tiễn đó, nhóm cán bộ Trung tâm Nhiệt đới Việt – Nga đã tiến hành nghiên cứu chế phẩm cầm máu dạng bột dựa trên cấu trúc zeolit và cơ chế hoạt hóa yếu tố đông máu nhờ sự bổ sung ion Ca2+, qua bước đầu thử nghiệm và đánh giá, sản phẩm đã cho những kết quả rất khả quan.
Trong khuôn khổ của đề tài, nhóm tác giả đã xây dựng được quy trình tổng hợp các bán thành phẩm bao gồm: quy trình tổng hợp Zeolit NaA, NaX từ thủy tinh lỏng và nhôm hydroxit và Quy trình tổng hợp Zeolit CaA và CaX từ chính zeolit NaA và NaX với quy mô 1kg/mẻ; quy trình chế tạo chế phẩm cầm máu khẩn cấp quy mô 10kg/mẻ; khảo sát đánh giá một số chỉ tiêu của sản phẩm và đề xuất dự thảo Tiêu chuẩn cơ sở cho chế phẩm cầm máu khẩn cấp.

Chế phẩm cẩm máu khẩn cấp
Ngoài việc xây dựng được quy trình chế tạo chế phẩm, nhóm thực hiện đề tài đã tiến hành xác định một số các chỉ tiêu kỹ thuật của sản phẩm để bước đầu xây dựng tiêu chuẩn cơ sở như kích thước hạt, độ vô khuẩn, diện tích bề mặt, tổng thể tích mao quản… đồng thời tiến hành thử nghiệm khả năng cầm máu của chế phẩm thu được trên mô hình động vật thử nghiệm là thỏ, các chỉ tiêu này đều được tiến hành so sánh đối chứng với sản phẩm Gemostop của Liên bang Nga.

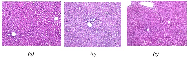
Hình ảnh giải phẫu mô gan thỏ thực nghiệm (HE, 100X)
(a): lô dùng gạc, (b): lô dùng chế phẩm đề tài; (c): lô dùng sản phẩm Gemostop (LB Nga)

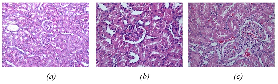
Hình ảnh giải phẫu mô thận thỏ thực nghiệm (HE, 100X)
(a): lô dùng gạc, (b): lô dùng chế phẩm đề tài; (c): lô dùng sản phẩm Gemostop (LB Nga)
Kết quả thử nghiệm thu được, thời gian cầm máu trung bình của nhóm thỏ được cầm máu bằng chế phẩm cầm máu khẩn cấp VN của đề tài là 23,86 giây, trong khi đó thời gian cầm máu trung bình của nhóm thỏ sử dụng chế phẩm Gemostop của Liên Bang Nga là 24,48 giây và thời gian cầm máu của nhóm thỏ không được sử dụng các chế phẩm cầm máu mà chỉ sử dụng băng gạc thông thường kéo dài tới 455,24 giây. Thí nghiệm cũng tiến hành đánh giá ảnh hưởng của chế phẩm đối với các chỉ số huyết học, trọng lượng của thỏ, hoạt động và chức năng gan thận thỏ thực nghiệm tại thời điểm trước thí nghiệm, sau thí nghiệm 3 tuần và 6 tuần. Các số liệu đều cho thấy chưa có sự thay đổi có ý nghĩa thống kê khi so sánh các kết quả trước và sau thí nghiệm giữa các nhóm thỏ nghiên cứu. Mặc dù quy mô thử nghiệm chưa đủ để đưa ra kết luận về hiệu quả hay tính an toàn tuyệt đối, nhưng đây là những kết quả khả quan và đáng tin cậy để bước đầu khẳng định chế phẩm thu được có hiệu quả cầm máu trong thời gian ngắn và đảm bảo an toàn khi sử dụng, là cơ sở để tiếp tục nghiên cứu và hoàn thiện sản phẩm trong những giai đoạn sau.
Chế phẩm cầm máu khẩn cấp của đề tài đã nhận được những đánh giá tích cực của các chuyên gia trong thành phần hội đồng nghiệm thu. Đây cũng là cơ sở khoa học để Trung tâm nhiệt đới Việt – Nga tiếp tục nghiên cứu hoàn thiện và xây dựng cơ sở pháp lý đưa sản phẩm vào áp dụng thực tế trong tương lai.
Bài và ảnh: Hoàng Quang Cường & Nguyễn Thị Quỳnh Hoa
Bài viết liên quan
Khoa học & công nghệ














